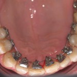
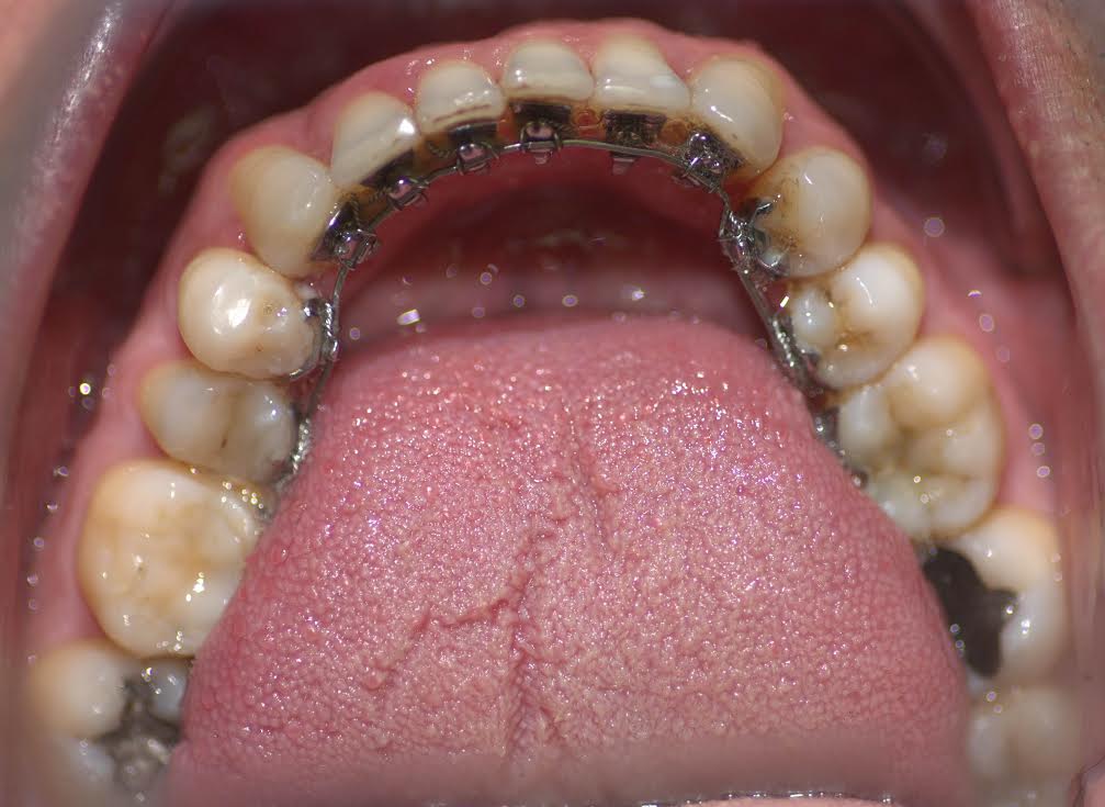
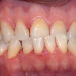
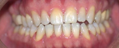
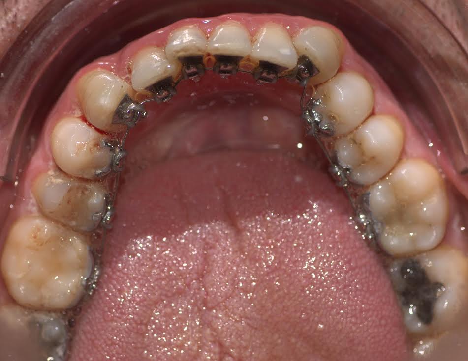
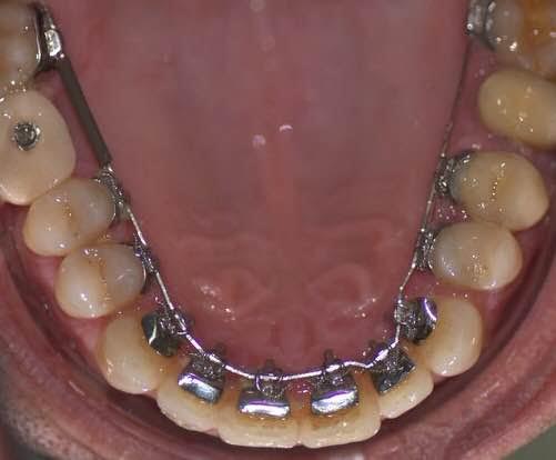
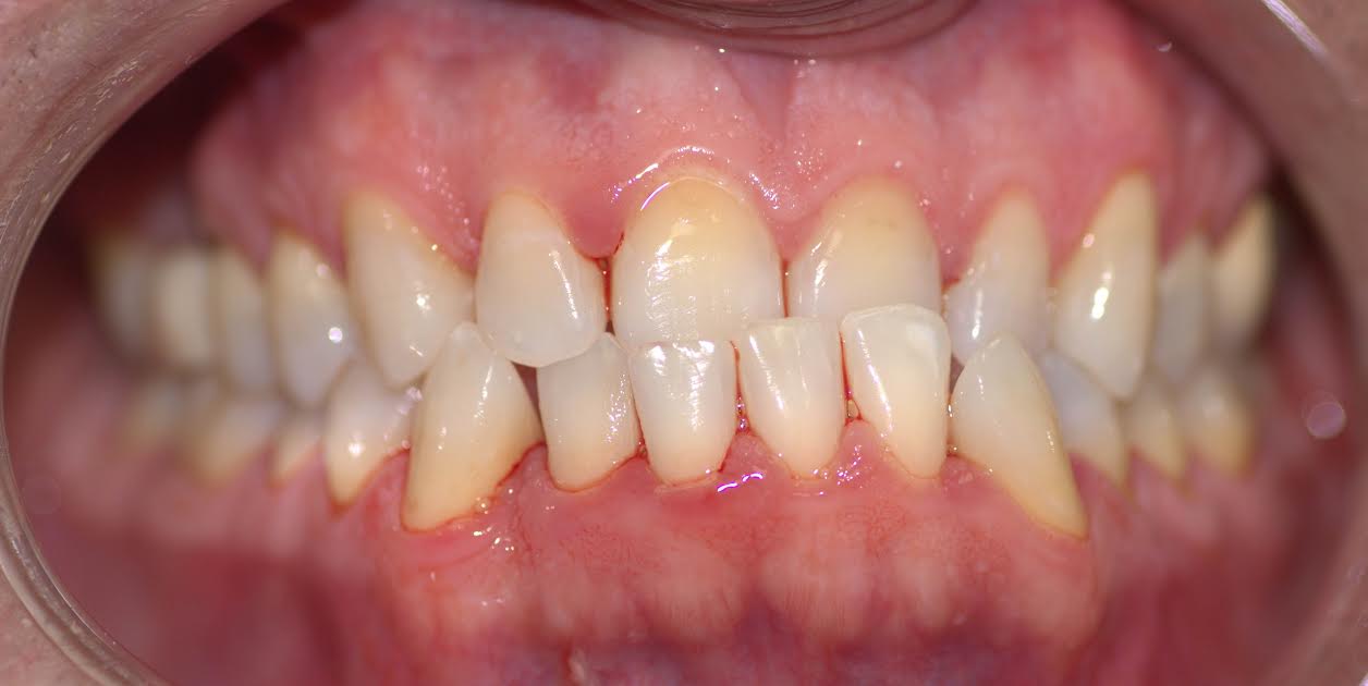
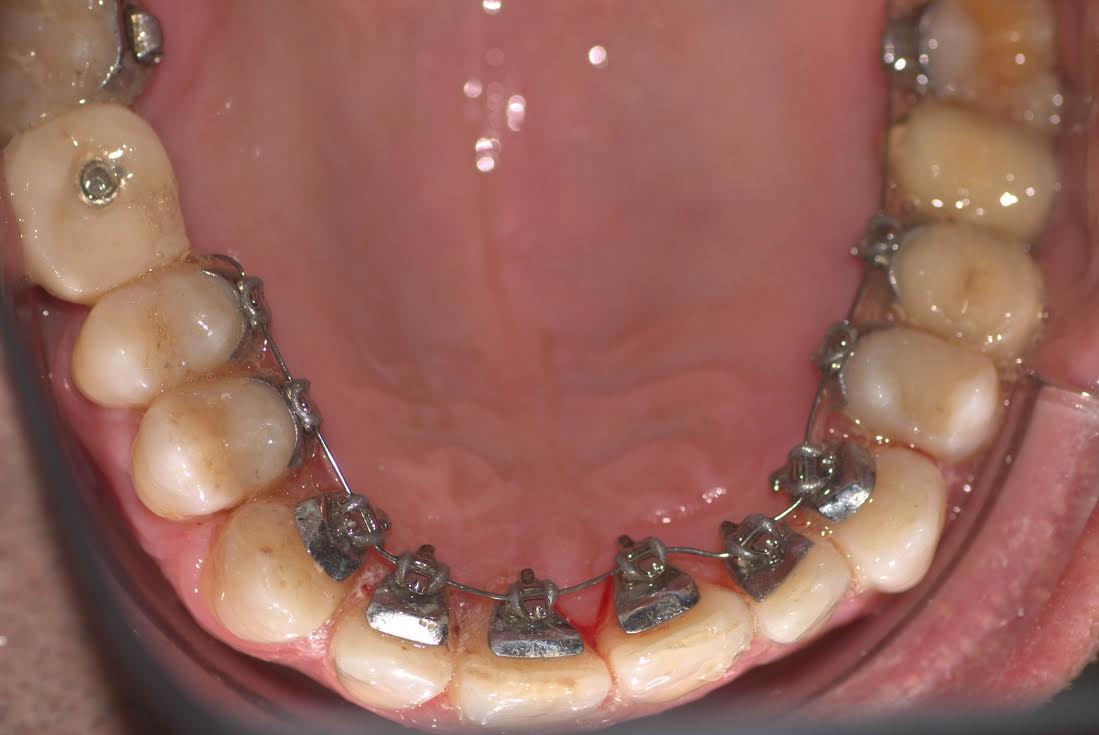
Trattamento ortodontico linguale invisibile WIN – III Classe

L’apparecchio ortodontico linguale invisibile win ha ristabilito la posizione ideale di denti che all’inizio si trovavano in posizione inversa in zona frontale.
l’aspetto estetico del paziente risulta essere armonioso e la funzionalita del morso ristabilita.
durata del trattamento: 14 mesi

TRATTAMENTO ORTODONTICO LINGUALE INVISIBILE WIN- III CLASSE  

TRATTAMENTO ORTODONTICO LINGUALE INVISIBILE WIN- III CLASSE  TRATTAMENTO ORTODONTICO LINGUALE INVISIBILE WIN- III CLASSE

TRATTAMENTO ORTODONTICO LINGUALE INVISIBILE WIN- III CLASSE  TRATTAMENTO ORTODONTICO LINGUALE INVISIBILE WIN- III CLASSE

 

CLICCA QUIO PER SAPERNE DI PIÙ SUI NOSTRI SERVIZI DI ORTODONZIA