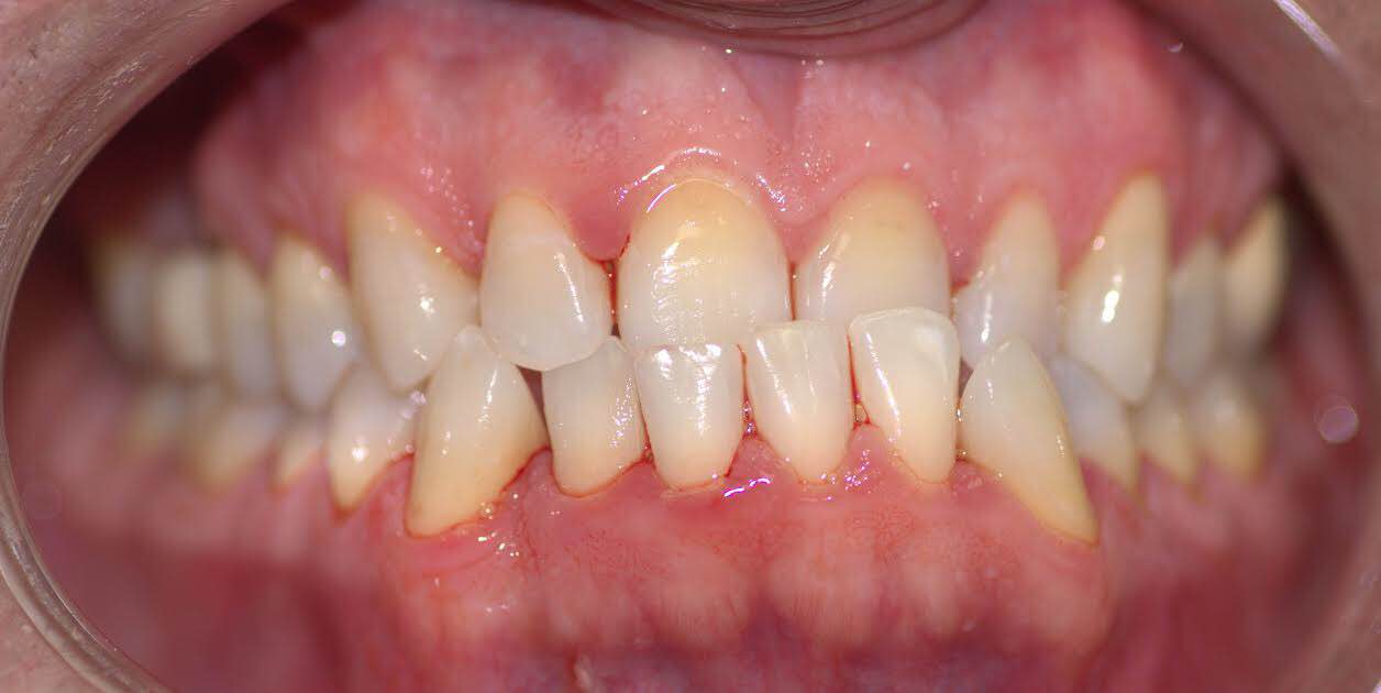
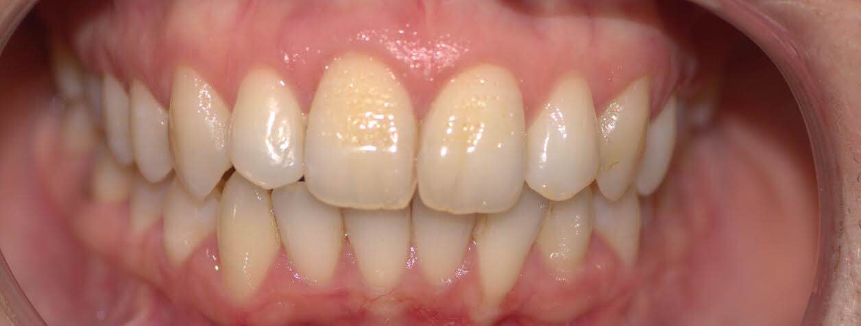
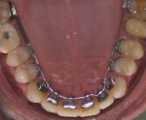
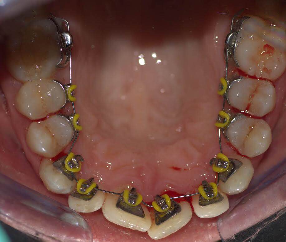
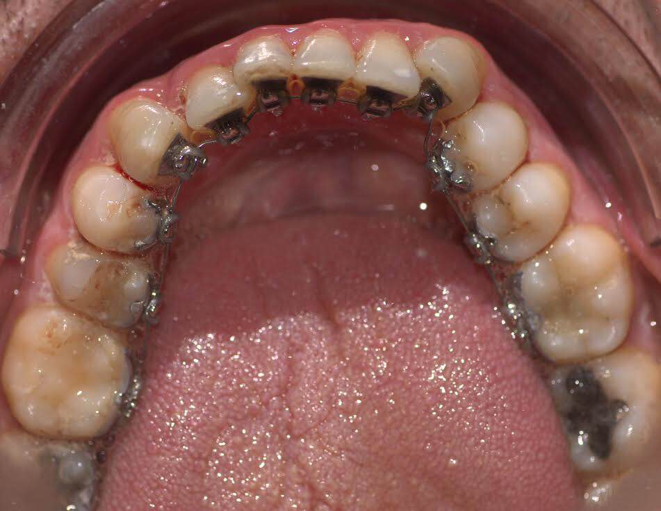
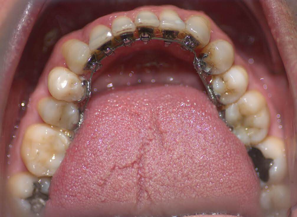
l’apparecchio ortodontico linguale invisibile win in questo caso ha allineato i denti particolarmente affollti, ristabilendo anche la guida canina destra.
durata del trattamento: 20 mesi
CLICCA QUIO PER SAPERNE DI PIÙ SUI NOSTRI SERVIZI DI ORTODONZIA





